Skip to content Skip to sidebar Skip to footer

Sjogren Syndrome Neurological Symptoms

Sjogren S Syndrome Symptoms You Might Be Ignoring

Sjogren S Syndrome Symptoms You Might Be Ignoring

Sjogren syndrome neurological symptoms. Common symptoms of neurologic involvement secondary to Sjogren syndrome include numbness and tingling of the extremities or problems with balance representing peripheral neuropathy facial pain secondary to trigeminal neuralgia and patchy painful stinging and burning of the skin caused by small fiber neuropathy. Primary Sjogrens symptoms and objective signs of ocular dryness with positive Schirmers test and positive Rose-Bengal or fluorescein staining of cornea and conjunctiva. This is an inflammation of muscle tissue accompanied by spontaneous pain or pain induced by palpation simply said touching.

Steven Carsons MD. Sjögrens syndrome SS complicates 5-10 of cases of systemic lupus erythematosus SLE. Conversion disorder CD is sometimes accompanied by motor and sensory impairments such as muscle weakness paralysis sensory hypersensitivity and sensory loss.

Patients with SS or SLE present with various neurological symptoms and psychiatric. Sjögrens syndrome can cause a numbness or burning of the face called trigeminal neuralgia Pain in the back of the throat which may worsen while swallowing is called glossopharyngeal neuralgia Patients with trigeminal or glossopharyngeal neuralgia can have agonizing mouth and facial pain. Neurologic involvement occurs in approximately 20 of patients with primary Sjögren syndrome SS.

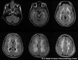
Neuromuscular Manifestations of Sjogrens syndrome Patients suffering from Sjogrens syndrome may develop a whole variety of neuromuscular complications. Additionally hyperintense T2 lesions on brain MRI may be present and can appear similar to lesions seen in multiple sclerosis. In addition Sjogrens syndrome may cause skin nose and vaginal dryness and may affect other organs of the body including the kidneys blood vessels lungs liver pancreas and brain.

Sjögrens syndrome consists of neurological symptoms including peripheral neuropathy and myelitis. Peripheral neurological manifestations associated with Sjögrens syndrome. The first is ichthyosis which is a buildup of skin to form a scale-like covering that causes dry skin and other problems.

However the diagnosis of SS with neurologic involvement is sometimes difficult and central nervous system CNS manifestations have been described rarely. The hallmark symptoms of the disorder are dry mouth and dry eyes. In nearly 20 percent of Sjögrens syndrome cases.

Sjögrens syndrome SS is a chronic autoimmune inflammatory disorder characterized by diminished lacrimal and salivary gland function. Complaints of peripheral neuropathy fatigue and impaired cognitive function may occur in up to 70 of patients and are often listed as the most important clinical extraglandular features in their impaired quality of life assessment see chapter by Bowman et al.

Ijms Free Full Text Neurological And Inflammatory Manifestations In Sjogren S Syndrome The Role Of The Kynurenine Metabolic Pathway Html

Ijms Free Full Text Neurological And Inflammatory Manifestations In Sjogren S Syndrome The Role Of The Kynurenine Metabolic Pathway Html

Arthritis Nsw Condition Focus Sjogren S Syndrome Sjogren S Syndrome Is An Autoimmune Condition That Results In Abnormal Dryness Of The Mouth Eyes And Or Other Tissues As Well As Swelling Of Glands Around

Arthritis Nsw Condition Focus Sjogren S Syndrome Sjogren S Syndrome Is An Autoimmune Condition That Results In Abnormal Dryness Of The Mouth Eyes And Or Other Tissues As Well As Swelling Of Glands Around

Epidemiology Of Neurological Manifestations In Sjogren S Syndrome Data From The French Assess Cohort Rmd Open

Epidemiology Of Neurological Manifestations In Sjogren S Syndrome Data From The French Assess Cohort Rmd Open

Sjogren S Syndrome Long Term Disability Mcdonald And Mcdonald

Sjogren S Syndrome Long Term Disability Mcdonald And Mcdonald

Symptoms Sjogren S Foundation

Symptoms Sjogren S Foundation

Pin On Health Or Work Helps

Pin On Health Or Work Helps

Sjogren S Syndrome Symptoms Causes Diagnosis And Treatment

Sjogren S Syndrome Symptoms Causes Diagnosis And Treatment

New Genetic Susceptibility Factors For Sjogren S Syndrome Revealed Niams

New Genetic Susceptibility Factors For Sjogren S Syndrome Revealed Niams

Sjogren S Syndrome Neurological Symptoms Include Peripheral Neuropathy And Myelitis Peripheral Neuropathy Neuropathy Syndrome

Sjogren S Syndrome Neurological Symptoms Include Peripheral Neuropathy And Myelitis Peripheral Neuropathy Neuropathy Syndrome

Sjogren S Syndrome More Than Meets The Eye Physiospot Physiotherapy And Physical Therapy In The Spotlight

Sjogren S Syndrome More Than Meets The Eye Physiospot Physiotherapy And Physical Therapy In The Spotlight

Secondary Sjogren S Syndrome Symptoms Causes And More

Secondary Sjogren S Syndrome Symptoms Causes And More

Sjogren Syndrome A Complex Cns Disease

Sjogren Syndrome A Complex Cns Disease

Neuropsychiatric Manifestations Of Sjogren S Syndrome Papers Of Interest To Neuropsychiatrists

Neuropsychiatric Manifestations Of Sjogren S Syndrome Papers Of Interest To Neuropsychiatrists

Sjogrens Syndrome Pdf Free Pdf Epub Medical Books

Sjogrens Syndrome Pdf Free Pdf Epub Medical Books

Sjogren S Syndrome Neurological Symptoms Include Peripheral Neuropathy And Myelitis

Sjogren S Syndrome Neurological Symptoms Include Peripheral Neuropathy And Myelitis

Pdf A Rare Presentation Of Primary Sjogrens Syndrome

Pdf A Rare Presentation Of Primary Sjogrens Syndrome

Expert Insight A Closer Look At Neurological Manifestations Of Sjogren Syndrome Rheumatology Advisor

Expert Insight A Closer Look At Neurological Manifestations Of Sjogren Syndrome Rheumatology Advisor

Primary Sjogren Syndrome With Tumefactive Central Nervous System Involvement American Journal Of Neuroradiology

Primary Sjogren Syndrome With Tumefactive Central Nervous System Involvement American Journal Of Neuroradiology

Sjogren Ch Symptoms

Sjogren Ch Symptoms

Sjogren S Syndrome In Children Causes Symptoms Treatment St Louis Childrens Hospital

Sjogren S Syndrome In Children Causes Symptoms Treatment St Louis Childrens Hospital

Frontiers Neuro Sjogren Peripheral Neuropathy With Limb Weakness In Sjogren S Syndrome Immunology

Frontiers Neuro Sjogren Peripheral Neuropathy With Limb Weakness In Sjogren S Syndrome Immunology

Pdf Neurological Disorders In Primary Sjogren S Syndrome Semantic Scholar

Pdf Neurological Disorders In Primary Sjogren S Syndrome Semantic Scholar

Cutaneous Features And Diagnosis Of Primary Sjogren Syndrome An Update And Review Journal Of The American Academy Of Dermatology

Cutaneous Features And Diagnosis Of Primary Sjogren Syndrome An Update And Review Journal Of The American Academy Of Dermatology

1

1

Pathogenesis Of Sjogren S Syndrome Ppt Download

Pathogenesis Of Sjogren S Syndrome Ppt Download

Plos One Neurological Involvement In Primary Sjogren Syndrome A Focus On Central Nervous System

Plos One Neurological Involvement In Primary Sjogren Syndrome A Focus On Central Nervous System

Sjogren S Syndrome An Overview Sciencedirect Topics

Sjogren S Syndrome An Overview Sciencedirect Topics

Sjogren S Syndrome Patients Who Suffer From Dry Eye Explained Weston Contact Lens Institute

Sjogren S Syndrome Patients Who Suffer From Dry Eye Explained Weston Contact Lens Institute

Optometric Management Are You Missing The Early Signs Of Sjogren S Syndrome

Optometric Management Are You Missing The Early Signs Of Sjogren S Syndrome

Sjogren S Syndrome

Sjogren S Syndrome

Expert Insight A Closer Look At Neurological Manifestations Of Sjogren Syndrome Rheumatology Advisor

Expert Insight A Closer Look At Neurological Manifestations Of Sjogren Syndrome Rheumatology Advisor

Frontiers Neuro Sjogren Peripheral Neuropathy With Limb Weakness In Sjogren S Syndrome Immunology

Frontiers Neuro Sjogren Peripheral Neuropathy With Limb Weakness In Sjogren S Syndrome Immunology

Immune Mediated Axonal Dysfunction In Seropositive And Seronegative Primary Sjogren S Syndrome Tani 2020 Annals Of Clinical And Translational Neurology Wiley Online Library

Immune Mediated Axonal Dysfunction In Seropositive And Seronegative Primary Sjogren S Syndrome Tani 2020 Annals Of Clinical And Translational Neurology Wiley Online Library

Recommendations For The Treatment Of Sjogren S Syndrome

Recommendations For The Treatment Of Sjogren S Syndrome

Changes In Icd 10 For Sjogren S Syndrome The Rheumatologist

Changes In Icd 10 For Sjogren S Syndrome The Rheumatologist

Recommendations For The Treatment Of Sjogren S Syndrome

Recommendations For The Treatment Of Sjogren S Syndrome

Nerves In Sjogren S Neurological Involvement In Sjogren S Syndrome Sjogren S Syndrome Sjogrens Sjogrens Syndrome Sjogrens Syndrome Diet

Nerves In Sjogren S Neurological Involvement In Sjogren S Syndrome Sjogren S Syndrome Sjogrens Sjogrens Syndrome Sjogrens Syndrome Diet

Dr Balaji Anvekar Frcr Sjogren S Syndrome Mri Brain

Dr Balaji Anvekar Frcr Sjogren S Syndrome Mri Brain

Plos One Neurological Involvement In Primary Sjogren Syndrome A Focus On Central Nervous System

Plos One Neurological Involvement In Primary Sjogren Syndrome A Focus On Central Nervous System

Epidemiology Of Neurological Manifestations In Sjogren S Syndrome Data From The French Assess Cohort Rmd Open

Epidemiology Of Neurological Manifestations In Sjogren S Syndrome Data From The French Assess Cohort Rmd Open

Sjogren S Syndrome A Child S View Posts Facebook

Sjogren S Syndrome A Child S View Posts Facebook

Peripheral And Central Nervous System Involvement In A Patient With Primary Sjogren S Syndrome A Case Report Journal Of Medical Case Reports Full Text

Peripheral And Central Nervous System Involvement In A Patient With Primary Sjogren S Syndrome A Case Report Journal Of Medical Case Reports Full Text

Https Pafmj Org Index Php Pafmj Article Download 2336 2027

Https Pafmj Org Index Php Pafmj Article Download 2336 2027

Sjogren S Syndrome Leslie B Anthony Dmd

Sjogren S Syndrome Leslie B Anthony Dmd

Patterns Of Peripheral Neuropathy In Sjogren S Syndrome In A Tertiary Care Hospital From South India Sireesha Y Kanikannan Ma Pyal A Sandeep G Uppin Ms Kandadai Rm Jabeen Sa Varaprasad R Rajasekhar

Patterns Of Peripheral Neuropathy In Sjogren S Syndrome In A Tertiary Care Hospital From South India Sireesha Y Kanikannan Ma Pyal A Sandeep G Uppin Ms Kandadai Rm Jabeen Sa Varaprasad R Rajasekhar

My Chronic Illness Sjogren S Syndrome Youtube

My Chronic Illness Sjogren S Syndrome Youtube

Ijms Free Full Text Neurological And Inflammatory Manifestations In Sjogren S Syndrome The Role Of The Kynurenine Metabolic Pathway Html

Ijms Free Full Text Neurological And Inflammatory Manifestations In Sjogren S Syndrome The Role Of The Kynurenine Metabolic Pathway Html

Sjogren Syndrome Nature Reviews Disease Primers

Sjogren Syndrome Nature Reviews Disease Primers

3

3

Let us begin with myalgia.

Neuromuscular Manifestations of Sjogrens syndrome Patients suffering from Sjogrens syndrome may develop a whole variety of neuromuscular complications. The first is ichthyosis which is a buildup of skin to form a scale-like covering that causes dry skin and other problems. Primary Sjogrens symptoms and objective signs of ocular dryness with positive Schirmers test and positive Rose-Bengal or fluorescein staining of cornea and conjunctiva. Primary Sjogrens Syndrome symptoms are pure sensory neuropathy sensorimotor neuropathy neuronopathy cranial nerve involvement polyneuropathy mononeuritis multiplex and polyradiculoneuropathy. Additionally hyperintense T2 lesions on brain MRI may be present and can appear similar to lesions seen in multiple sclerosis. Sjögrens syndrome SS is a chronic autoimmune inflammatory disorder characterized by diminished lacrimal and salivary gland function. Sjögrens syndrome can cause a numbness or burning of the face called trigeminal neuralgia Pain in the back of the throat which may worsen while swallowing is called glossopharyngeal neuralgia Patients with trigeminal or glossopharyngeal neuralgia can have agonizing mouth and facial pain. Neurologic involvement occurs in approximately 20 of patients with primary Sjögren syndrome SS. Symptoms often vary from patient to patient including in severity While many patients experience dry eyes dry mouth fatigue and joint pain Sjögrens can also cause dysfunction of organs such as the kidneys gastrointestinal system blood vessels lungs liver pancreas and the central nervous system.


Sjögrens syndrome consists of neurological symptoms including peripheral neuropathy and myelitis. The clinical manifestations of SS however include both exocrine gland involvement and extraglandular disease features among which are an array of syndromes affecting the peripheral and central nervous systems. This is an inflammation of muscle tissue accompanied by spontaneous pain or pain induced by palpation simply said touching. Steven Carsons MD. Primary Sjogrens Syndrome symptoms are pure sensory neuropathy sensorimotor neuropathy neuronopathy cranial nerve involvement polyneuropathy mononeuritis multiplex and polyradiculoneuropathy. Let us begin with myalgia. Objectives Neurological manifestations seem common in primary Sjögrens syndrome pSS but their reported prevalences vary.

Post a Comment for "Sjogren Syndrome Neurological Symptoms"